
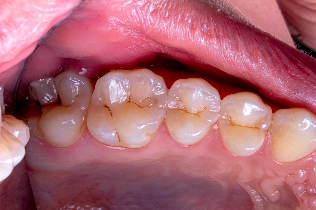
임플란트 흔들림의 이해
임플란트 흔들림이란 임플란트가 고정되지 않고 불안정한 상태를 의미합니다. Implant는 자연 치아와 유사하게 인위적으로 만들어진 치아라는 점에서 매우 중요합니다. 하지만 시간이 지나면서 여러 가지 이유로 인해 흔들림이 발생할 수 있습니다. 흔들림이 있다는 것은 단순히 치아의 문제뿐만 아니라 입안의 전체적인 건강에도 영향을 미칠 수 있습니다.

첫 번째로, 임플란트 흔들림의 주요 원인 중 하나는 심부조직 감염입니다. 예를 들어, 구강위생이 나쁘거나 치주염이 있을 경우, 세균이 뼈를 공격하여 임플란트가 제대로 고정되지 않을 수 있습니다. 이러한 감염은 심하면 뼈의 구조를 파괴할 수 있기 때문에 신속한 대처가 요구됩니다.
두 번째 원인은 임플란트의 부적절한 장착입니다. 수술 당시 잘못된 각도나 깊이로 임플란트를 장착할 경우, 나중에 흔들림이 발생할 확률이 높아집니다. 이때는 수술을 다시 해야 하는 경우도 발생할 수 있으며, 환자에게 많은 불신을 초래하기도 합니다.
세 번째로는 환자의 뼈 상태입니다. 뼈가 충분히 건강하지 않거나 약한 경우 임플란트가 흔들릴 수 있습니다. 특히, 골밀도가 적거나 과거에 뼈 이식을 받았던 환자들은 더욱 주의해야 합니다. 이러한 문제를 예방하기 위해서는 정기적인 검진이 필수적입니다.


임플란트 흔들림 문제 해결을 위한 전문가 조언
전문가들은 임플란트 흔들림이 발생했을 때 즉시 치과를 방문할 것을 권장합니다. 이때 어떤 처치가 필요한지 진단을 통해 파악해야 합니다. 흔들림의 이유를 정확히 분석한 후, 적절한 해결책이 마련될 수 있습니다.
첫 번째 단계는 철저한 진단입니다. X선 촬영이나 CT 스캔을 통해 잔여 뼈의 상태를 확인하고, 임플란트 주변의 염증 유무를 검사해야 합니다. 이러한 절차를 통해 임플란트 치아 흔들림의 원인을 찾을 수 있으며, 환자의 구체적인 상황을 고려한 맞춤형 치료가 가능해집니다.
두 번째 단계로, 전문가의 안내에 따라 적절한 치료법을 적용해야 합니다. 예를 들어, 뼈가 부족한 경우에는 뼈 이식 수술이 필요할 수 있으며, 감염이 원인이라는 것이 확인되면 항생제를 투여하는 등의 방법이 요구됩니다. 이런 방법들은 물론 통증이 동반되겠지만, 장기적으로는 더욱 건강한 치아를 유지할 수 있도록 도와줄 수 있습니다.



임플란트 유지관리와 예방방법
임플란트 흔들림을 예방하기 위해서는 치과의사의 조언을 철저히 따르는 것이 중요합니다. 특히, 정기적인 검진을 통해 조기에 문제를 발견하고 대처하는 것이 필수적입니다. 올바른 구강위생 습관을 기르는 것도 매우 중요합니다. 하루 두 번 이상 양치질을 하고, 치실이나 구강 세정제를 사용하여 치아와 임플란트 사이의 세균을 제거하는 것이 좋습니다.
또한, 특정 음식을 피하는 것도 임플란트 유지에 도움이 됩니다. 너무 단단하거나 질긴 음식은 임플란트에 과도한 힘을 가할 수 있습니다. 환자 본인의 식습관도 점검하고, 적절한 음식을 섭취하는 것이 좋습니다.



임플란트 흔들림의 예후와 치료 후 관리
임플란트 치료 후에는 충분한 회복 시간을 가져야 합니다. 이민 시간 동안 신중하게 식생활을 조절하는 것이 필요합니다. 초기 회복 단계에서는 부드러운 음식을 선택하는 것이 좋으며, 강한 압력을 가하지 않도록 주의해야 합니다. 이 시기에 꾸준한 관리가 훗날 임플란트 흔들림을 예방하는 핵심입니다.
결론 및 데이터 테이블
임플란트 흔들림은 여러 가지 원인으로 발생할 수 있으며, 이를 방치할 경우 더 큰 문제로 이어질 수 있습니다. 그러므로 문제가 생기면 즉시 전문가의 조언을 받아 적절한 치료를 받는 것이 필수적입니다. 예방을 위한 관리 또한 소홀히 해서는 안 되며, 정기적인 검진과 바른 치아 관리 습관이 중요합니다.
| 원인 | 해결책 |
|---|---|
| 심부조직 감염 | 항생제 치료 및 정기 검진 |
| 부적절한 장착 | 재수술 가능성 |
| 뼈 상태 불량 | 뼈 이식 |
추천 글
개헌과 재산권 행사, 공공 복리 우선 원칙의 실천 방안은?
개헌의 필요성과 기본 원칙개헌, 즉 헌법 개정은 나라의 기본적인 법적 틀을 수정하는 것을 의미합니다. 이 과정은 단순한 법률 개정이 아니라, 국민의 권리와 의무를 명확히 하고 정치적으로
geowin5000.jhcin.kr
의령 벚꽃축제, 화양제 죽방마을에서 즐기는 봄날의 향연
의령 벚꽃축제의 매력올해 또다시 찾아온 봄의 기운은 의령 벚꽃축제를 통해 마음속 깊이 스며듭니다. 전국 곳곳에서 벚꽃이 만개하는 시기가 되면, 의령의 화양제와 죽방마을은 피어나는 꽃잎
geowin5000.jhcin.kr
포항 벚꽃 여행, 떠나자 필수 방문지 5곳 소개
포항 벚꽃 여행의 시작: 벚꽃 명소를 찾아서봄의 향기가 가득한 포항, 이곳은 벚꽃이 만개하는 특별한 시즌에 특히 더 매력적으로 변신합니다. 포항 벚꽃 여행은 두근거리는 설렘과 함께 시작됩
geowin5000.jhcin.kr
자주 묻는 질문(FAQ)
임플란트 흔들림이 발생하면 어떻게 해야 하나요?
즉시 치과를 방문해 진단을 받는 것이 중요합니다. 원인에 따라 적절한 치료가 필요합니다.
임플란트 흔들림을 예방할 수 있는 방법은 무엇인가요?
정기적인 구강검진과 올바른 구강위생 습관이 가장 효과적입니다. 특히, 부드러운 음식을 선택하는 것도 도움이 됩니다.
선실한 임플란트를 선택하는 기준은 무엇인가요?
의사의 추천이나 후기, 그리고 임플란트의 품질 등을 기준으로 삼는 것이 중요합니다.