
직장암 4기 완치 및 그 치료법에 대한 심층적인 분석과 생존율에 대한 정보, 폐전이와 간전이에 대한 이해를 통해 환자와 가족들이 건강한 선택을 할 수 있도록 돕습니다.
직장암 4기 생존율
직장암 4기 생존율은 암의 진행 정도와 환자의 개인적인 건강 상태에 따라 다르지만, 일반적으로 5년 생존율은 14%로 비교적 낮은 편입니다. 이는 직장암이 이미 원격 전이에 해당하며, 조기 발견 시보다 치료의 효과가 떨어지기 때문입니다. 또한,직장암 4기 환자들은 종종 다른 신체적, 정신적 문제를 동시에 겪게 됩니다. 이러한 복합적인 상황은 치료 과정을 복잡하게 만들고, 생존율에도 영향을 미치게 됩니다.

따라서, 직장암 4기 치료를 고려할 때는 "이해"가 중요합니다. 생존 가능성을 높이기 위해서는 환자 본인의 상태뿐만 아니라, 세심한 치료 계획과 가족의 정서적 지지가 필수적입니다. 이러한 사실을 감안할 때, 언제나 존재할 수 있는 희망을 탐색하는 것이 중요합니다.
생존율을 높이기 위한 최신 치료 기술도 있습니다. 면역치료나 표적 치료처럼 새로운 패러다임이 직장암 4기 환자들에게도 효과적일 수 있습니다. 이러한 방법들은 기존의 화학요법과 차별화된 접근으로, 환자의 삶의 질을 향상시키는 데 기여할 수 있습니다. 다음에는 이러한 치료법에 대해 살펴보겠습니다.
환자가 자신의 병을 이해하고, 긍정적인 마인드로 치료에 임할 수 있도록 여러 정보와 사례를 바탕으로 자신감을 줄 수 있는 방법을 찾아보는 것이 중요합니다. 정말로 포기하지 말고, 희망을 잃지 않는 것이 비결 아닐까요?
직장암 4기 치료법
직장암 4기 치료에서 가장 흔히 사용되는 방법은 항암치료입니다. 여기서 항암치료는 전이된 암세포를 줄이는데 목표를 두고 진행되는데, 일반적으로 여러 약물이 조합되어 사용됩니다. 이는 환자의 상태와 암의 성장 패턴에 따라 조정될 수 있습니다.
화학요법 외에도 방사선 치료 역시 직장암 4기 치료에서 중요한 역할을 합니다. 방사선 치료는 암세포를 직접 타격하여 죽이는 방식으로, 특히 전이된 부위에 대해 효과적입니다. 여러 치료법의 병합으로 환자의 상태가 개선될 수 있음을 실감하게 하는 순간도 많죠.
전이된 간이나 폐에 직장암 4기가 퍼진 경우, 수술적 접근도 고려해볼 수 있습니다. 이 경우 의사는 다양한 요인(환자의 전신 상태, 암 종양의 위치 등)을 종합적으로 검토하여 결정합니다. 많은 환자들이 이러한 방법으로 삶의 질을 유지하거나 개선할 수 있다고 믿고 있습니다.
각 치료법의 효과와 고통을 최소화하는 방법에 대한 전략도 연구되고 있기 때문에, 지속적인 의사와의 상담이 반드시 필요합니다. 치료법이 아닌 환자의 질병이 아니라, 서로의 고통을 이해하는 시간이 필요할지도 모릅니다.
직장암 4기 전이
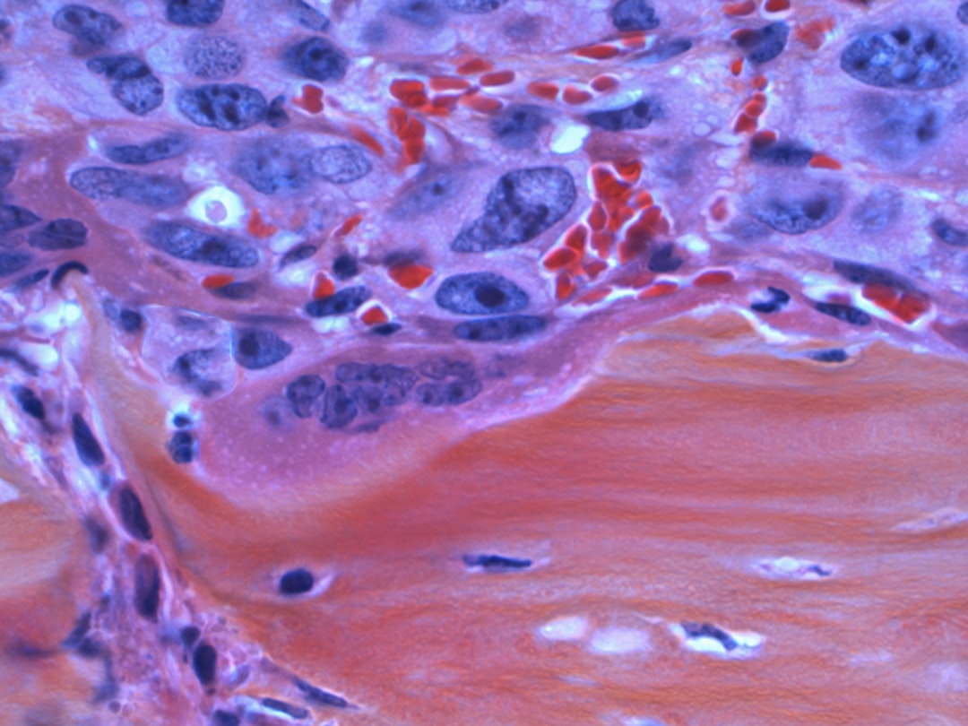
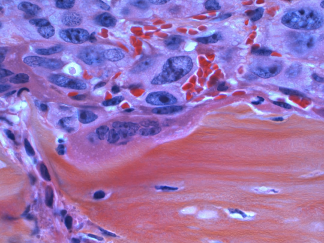
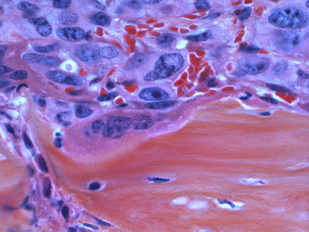
직장암 4기 환자들이 가장 고통스러워 하는 부분은 바로 폐전이와 간전이입니다. 이러한 전이는 특히 환자의 예후에 치명적인 영향을 미칠 수 있습니다. 전이는 신체 여러 부위로 퍼져나가며, 치료 과정에서 장애가 될 수 있습니다. 각각의 전이 부위에 따른 치료 방법도 다르게 고려되어야 할 필요성이 있습니다.



직장암 4기 폐전이 시 통증이나 호흡장애가 유발될 수 있으며, 이는 환자에게 큰 스트레스를 주게 됩니다. 치료 과정에서는 이러한 증상 완화를 위해 재활 치료나 통증 관리가 병행되어야 합니다. 환자와 가족들은 이를 통해 조금이나마 안도감을 느낄 수 있게 됩니다.
한편, 직장암 4기 간전이는 간 기능 저하로 이어질 수 있으며, 이는 환자의 전반적인 건강에도 악영향을 미칠 수 있습니다. 식욕 부진이나 피로감이 동반되는 점은 환자뿐만 아니라 가족에게도 큰 부담이 됩니다. 이럴 때에는 적절한 식단 관리와 함께 간 기능을 유지하기 위한 조치가 필수적입니다.
종합적으로 보면, 두 전이에 대한 관리가 병행되어야 하며, 환자 개개인의 특성과 상황에 맞춘 치료 계획이 필요합니다. 작은 희망의 불씨를 살리는 일이 얼마나 중요한지를 되새기게 만드는 부분입니다.



職場 암 4的ı 현실의 변화
치료와 관리에는 다양한 접근이 필요하며, 이 과정에서 환자와 가족 모두의 목소리가 존중받아야 합니다. 직장암 4기 환자들은 고통이나 두려움을 느끼고 있을 수 있지만, 이를 누그러뜨릴 방법이 분명 존재합니다. 정서적 지원과 치료 측면 모두에서 적극적인 참여가 환자의 회복을 돕는 데 큰 도움이 됩니다.

환자 커뮤니케이션과 이해하는 환경이 마련되면서, 의료진과 환자 간의 관계도 한층 깊어집니다. 이는 환자의 심리적 안정에도 긍정적인 영향을 미치게 되죠. 환자 본인이 느끼는 감정과 주변의 응원이 절대적으로 필요합니다.
치료의 최신 정보는 계속해서 진화하고 있습니다. 다양한 연구와 임상 시험들이 진행되고 있고, 이로 인해 직장암 4기 환자들도 새로운 희망을 발견하게 될 것입니다. 우리는 이 과정을 함께 만들어 나가야 합니다.
마지막으로, 이 모든 과정이 환자에게 긍정적인 결과를 가져올 수 있기를 진심으로 바랍니다! 그 과정 동안의 각자 경험이 공감되게 만드는 것이 중요합니다.
| 전이 유형 | 증상 | 치료방법 |
|---|---|---|
| 폐전이 | 호흡곤란, 통증 | 항암치료, 방사선 치료 |
| 간전이 | 피로감, 식욕부진 | 화학요법, 간 기능 유지 치료 |
함께 읽어볼 만한 글입니다
비타민B영양제 효능과 올바른 선택법 안내
비타민B영양제는 우리의 신체 건강에 많은 도움이 되는 중요한 영양제입니다. 이번 글에서는 비타민B영양제의 효능과 올바른 선택법에 대해 자세히 알아보겠습니다.비타민B영양제 효능비타민B
geowin5000.jhcin.kr
연골영양제 효능 분석과 올바른 선택법
연골영양제의 여러 효능과 올바른 선택법에 대해 심층적으로 분석합니다. 관절 건강을 원하는 이들을 위한 필수 정보가 가득하니, 읽어보세요!연골 영양제의 효능연골영양제는 관절 건강을 지
geowin5000.jhcin.kr
상소동 산림욕장, 추석 연휴 이국적 돌탑 힐링 여행
상소동 산림욕장에서 느끼는 특별한 힐링과 이국적인 돌탑 풍경 속에서 주문한 감동적인 순간을 간직해보세요. 이번 추석 연휴는 자연과의 교감으로 소중한 시간을 만끽하는 기회입니다.상소
geowin5000.jhcin.kr
FAQ
직장암 4기 생존율은 어떻게 되나요?
직장암 4기 생존율은 5년 기준 약 14%로 알려져 있습니다. 개인적인 건강 상태나 치료 방법에 따라 다를 수 있습니다.
직장암 4기의 주요 증상은 무엇인가요?
좌욕 시 통증, 배변 시 불편감, 체중 감소, 피로감 등이 주요 증상입니다. 이러한 증상이 나타나면 즉시 전문가의 상담이 필요합니다.
직장암 4기의 치료법은 어떤 것이 있나요?
항암치료, 방사선 치료, 수술적 접근 등이 주요 치료법이며, 환자의 상태에 따라 다양한 조합이 필요합니다.